むし歯治療
むし歯の治療は、進行状態によって様々な方法があります。
「患者さんが生涯ご自身の歯ですごす」という目標で治療にあたっています。
できるだけ削らず、なるべく神経をとらず、なるべく抜かずに治療していきます。例えば、神経を取らないといけないようなむし歯でも、できそうならば、神経を取らずに治療できないか。また、見えている歯が全て虫歯にやられていたとしても根の部分を残せないか?と考えます。
むし歯を削る時、一般的には回転数の早いタービンと硬いダイヤモンドのついたバー(ドリル)を使用しますが、ある程度むし歯を取り除いた後は、必要以上に歯を削り過ぎないように、スチールバーと呼ばれる金属製のバーを使用します。硬さの違いから、軟らかくなったむし歯のみを削り、健全な歯質はほとんど削れません。ただし、低速回転で使用するため、結構な振動があります。
他にも、むし歯になっている部分が染色される、う蝕検知液などを使用し、可能な限りむし歯になってしまった部分だけを取り除き、健全な部分は残すような治療をしています。
また、神経を取ると、歯の寿命は極端に短くなってしまいます。ですので、術後、痛みが出る可能性はありますが、安易に神経を取らず、できるだけ神経を保存する方針で治療を行っています。
通常では神経まで虫歯が達していた場合、一般的には神経を取る治療になります。虫歯を除去し、神経が露出した場合はMTAセメント(健康保険適応外)の使用することで、神経を温存できる場合があります(生活歯髄温存療法V P T)。
MTAセメントについては治療前にご相談ください。(ご希望のない限りは使用いたしません。)
※ドックベストセメントはMTAセメントを用いた治療の方が効果的であると判断し、当院では使用を終了しました。
前歯や奥歯の小さなむし歯については、白色系のコンポジットレジンによる修復(詰め物)を。奥歯の大きいむし歯の場合は保険では金属による修復(詰め物)を第1選択としています。歯全体に及ぶ極めて大きなむし歯の場合は詰め物ではなく被せ物となります。近年、条件がありますが、保険で臼歯に対しても白い高強度プラスチック(CAD/CAM冠)による被せ物ができるようになりました。
コンポジットレジンは健康保険で使用できる唯一の白く修復できる材料で、術者の技術次第では見た目も良くできますが、耐久性にまだ難があり、頑張って手入れをしても摩耗やフチの欠け、ヒビ、破折によって長期間の耐久性は期待できません。統計上5年程度で再治療になるという文献もあります。 当院でも、コンポジットレジン修復物の摩耗や破折からむし歯になっている例を日常的に経験しておりますため、前歯や小さいむし歯や噛む力のかからないところの場合はコンポジットレジン修復を行っておりますが、大きく力がかかるところには、充分な性質をもって代わりうる選択肢がないため金属による修復・補綴処置を行っております。 しかし、保険で使用できる金属はアレルギーの問題や長期使用した場合の二次齲蝕の問題など決して良いものとは言えません。
白く審美性もあり耐久性の期待できる材料としては、自費診療となりますが、審美性以外にもアレルギーの心配がほぼなく歯垢の付着も最もしにくく、変色したりしない、セラミックによる修復をお勧めいたしております。
歯の根の治療の次に・・・土台を作る
歯の根の治療(根管治療)を行うと、その後の被せ物の治療を行うために、土台を建て、最終の被せ物ができるように基礎を作ります。
保険治療の場合、これまでは金属を使用した土台(「コア」と言います)が最も使用されておりました。金属ですので、土台自体が折れることはほとんどありませんが、残った歯の根に差し込むため(ゆえに「差し歯」と呼ばれます)、硬い金属の土台が楔(くさび)となってしまい、歯根が折れてしまうことがよくありました。歯根が折れてしまうとかなりの確率で抜歯となってしまいます。特に上顎の前歯を失う理由はこれが一番多いのではないでしょうか。
また、金属が少しずつ溶解し、歯根を黒く変色させてしまうことがあります。継ぎ目が黒く見えてきたり、薄い歯肉からグレーに透けてみえるようなこともあります。
ネジを差し込み、周囲をレジン(プラスチック・樹脂)で固めたレジンコアもよく使用されますが、こちらも破折のリスクが高いと言われております。
当院では、グラスファイバーを心棒とし周囲をレジンで固めた「ファイバーコア」を自費診療だけでなく、保険診療でも使用し、歯根破折から抜歯に至るリスクの減少につとめております。
ファイバーコアであっても土台が折れることはありますが、歯根が折れず人工的な土台の部分の破折にとどまりやすいため、抜歯に至らず再治療可能となる確率が向上するためです。
もちろん、白~黄色系のプラスチックのため、セラミックスやCAD/CAM冠と言われるプラスチックの被せ物など、土台の色が透ける被せ物をする場合の審美的なメリットもあります。
衝撃吸収性を高めた「ペクトン」という樹脂を使った土台の治療を行っております(ペクトンは自費診療となります)
当院での保険診療/自費診療におけるファイバーコアの違いは、当院では心棒に使うグラスアファイバーの本数や前後の工程に違いがあり、全く同じではありません。
※ただし、以下の場合は金属によるコアを使用する場合があります。
・歯周炎のコントロール状況が悪く、容易に出血する、または浸出液が多くファイバーコアの接着に支障がある場合。
・とにかく自己負担を低く抑えた治療を求められる方。
・被せ物をやり替える必要があるときに、既に入っている金属の土台を取り除くことが困難な場合。
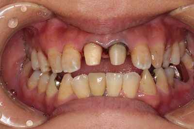
金属の土台による、歯の黒変が歯肉を透けてグレーに見えています。
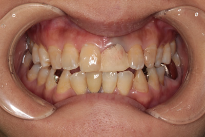
ファイバーコアに交換。歯の部分が黒く変色しているのがおわかりになりますでしょうか。この後はBOPTテクニックを用いた被せ物で歯肉の厚みを増やし、黒変が透けないようにして補綴処置を行いました。
金属の土台(メタルコア)が入っていたため、硬い金属の土台が楔の役割をして、歯が割れてしまった例です。 このような深い破折の場合、通常は抜歯にいたることがほとんどです。 しかし、本症例はファイバーコアとセラミックスクラウン(被せ物)にBTAテクニックを適用し、抜歯せず保存を図り術後2年以上経ちますが大きなトラブルもなく維持されています。




















